Home
About
Our Team
Office Pictures
Services
View All
Professional Teeth Whitening
Preventative Dental Cleanings
Comprehensive Oral Exam
Root Canals
Dentures
Crowns and Bridges
Complex Dental Treatment
Dental Implant Treatment
CEREC Dentistry
Cosmetic Tooth-Colored Fillings
Invisalign
Smile Gallery
View All
CEREC Dentistry
Complex Dental Treatment
Cosmetic Tooth-Colored Fillings
Crowns and Bridges
Dental Implant Treatment
Dentures
Professional Teeth Whitening
Testimonials
Patient Info
View Patient Info
Forms
FAQs
Blog
Articles
Financial
Contact
Southern Dental Group
A Great Dentist
Schedule an Appointment
Like us on Facebook
Visit us on Yelp
Watch our Youtube Videos
Leave a Google Review
Instagram
FourSquare
(606) 678-0874
152 Parkers Mill Road, Suite A,
Somerset, KY 42501
Call Today
Online Payment
Southern Dental Group
>
Smile Gallery
>
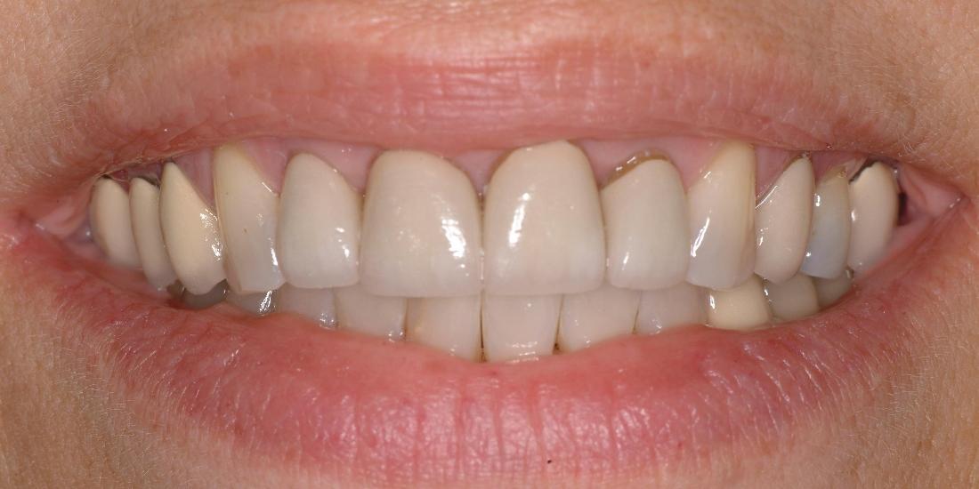
Replace Old Crowns
Replace Old Crowns
Return to Smile Gallery
Previous
Next
This patient improved their smile by having old crowns replaced with all porcelain crowns.
Related Services:
CEREC Dentistry
Crowns and Bridges
Before
After
Not finding what you need?
Contact Us
If you have difficulty using our website, please
email us
or call us at
(606) 678-0874
View the
ADA Accessibility Statement
Turn on ADA Views
OK!
×
×
Contact Us Today
Give Us A Call
Southern Dental Group -
(606) 678-0874
Send Us an Email
Request an Appointment
Contact Us
Ready to Schedule an Appointment?
Book Online
Have Questions? Contact Us:
Required Field
Your Name:
Phone:
Email:
Are you a new patient?:
Are you a?
New Patient
Current Patient
How would you like us to contact you?
Please choose
Email
Call
How did you hear about us?
Please choose
I'm an existing patient
Google/Bing
Mailer
Word of mouth
Social media
Other
Who Referred You?:
Appointment Preferences
Monday
Tuesday
Wednesday
Thursday
Your Message:
This site is protected by reCAPTCHA and the Google
Privacy Policy
and
Terms of Service
apply.
Sending...
×
This Patient's Experience
Loading Testimonial...
Loading Case...